近日,香香腐宅
科技考古团队在分析化学权威期刊Microchemical Journal上发表最新研究成果Identification of different species and cultivars of natural lacquers by high performance liquid chromatography and enzyme-linked immunosorbent assay(利用高效液相色谱和酶联免疫分析方法鉴定不同种类的生漆),香香腐宅
文化遗产研究院副研究员吴朦是第一作者,王全玉教授为通讯作者,共同作者还有硕士研究生陈华清和张向君。

图一 本研究的图文摘要
生漆是东亚地区特有的天然高分子聚合材料,是漆树的韧皮部受损后产生的分泌物,主要成分是漆酚、糖蛋白、漆酶和水。在空气中,漆酶会催化漆酚聚合,糖蛋白和漆酶被包裹在聚合物中,聚合后的漆膜具有防水防腐等优良性能。因此,在狩猎采集时代就被古人类利用。
目前考古发现的早期漆器出土于浙江井头山遗址和跨湖桥遗址,距今约八千年;日本的绳纹时代也有早期漆器出土。这些早期漆器源自新石器时代早期定居的狩猎采集部落,制作工艺简单,仅在木器表面涂刷一层漆,仍属于实用器具。随着农业的发展,中国长江流域逐渐进入农业社会,漆器也发展成为兼具实用性和艺术性的“礼器”,河姆渡文化和良渚文化出土的漆器是这个转型时期的典型代表。至春秋时期,中国漆器产业已经达到巅峰,工艺复杂,种类繁多,成为继青铜器之后的又一类礼器。秦汉时期,漆器随着丝绸之路传播至中、西亚和欧洲,成为古代中国物质文明的象征之一。至隋唐时期,漆器的制作工艺与优良的漆树品种已经传播至朝鲜、日本、越南等周边国家。
中国古代漆器产业的高度发达必然带动漆树种植业的扩张。最晚至东周,漆树已经成为重要的经济林木,存在官营和民营的漆树种植园。东亚地区可产漆的树种有Toxicodendron vernicifluum(漆树),Toxicodendron succedaneum(野漆树), 和Melanorrhoea usitata(黑漆树)。黑漆树主要分布于东南亚和南亚的热带地区,而漆树和野漆树则在中国、朝鲜半岛和日本群岛都有分布。漆树所产生漆的性能优于野漆树,因此漆树成为是中国自古以来的主要产漆树种。根据现代农林领域的研究和对漆农的调研,现存漆树又可以分为大木漆(野生种)和小木漆(驯化种)两个品种。在植物学上大木漆和小木漆已经出现了明显的性状分离,小木漆较矮,寿命较短,但是生漆的产量更多,品质更好,这是古代中国对漆树数千年人工选择的结果。
漆的种属鉴定是漆器考古学研究的重要课题之一。然而此前的分析方法仅限于区分源自三个不同物种(T. vernicifluum,T. succedaneum和M. usitata)的生漆,即用热裂解-气相色谱质谱联用(Py-GC/MS)定性鉴定聚合漆酚热解后的产物,该方法的基本原理是三种生漆的漆酚分子结构差异。然而漆树和野漆树因为物种亲缘关系较近,所产的漆酚的分子结构也十分接近,都是混合的邻苯二酚的邻位取代烃基衍生物;而大木漆和小木漆的漆酚分子结构相同,更无法利用Py-GC/MS进行区分鉴定。

图二 三种漆树的主要地理分布和漆酚结构
我国各地都有大量漆器文物出土,从新石器时代至明清时期,时代序列完整,是研究中国古代漆树种植业和漆器手工业的充足实物资料。然而此前没有可以鉴定区分大木漆膜和小木漆膜的科学方法,因此海量的漆器文物样本无法被充分利用并发挥其科学价值。针对这一问题,本研究从现代生漆样本出发,利用多种方法综合分析了不同种漆树所产生漆的漆酚和糖蛋白。研究发现,不仅漆树和野漆树的生漆在漆酚和糖蛋白上存在巨大差异;大木漆和小木漆的漆酚和糖蛋白,也存在明显的分子差异:与大木漆相比,小木漆的漆酚化学极性更强和糖蛋白分子量更小。糖蛋白是携带有遗存信息的生物大分子,本研究结果表明,经古代中国漆农数千年的人工选择,大木漆树和小木漆树已经存在明显的遗传学差异。

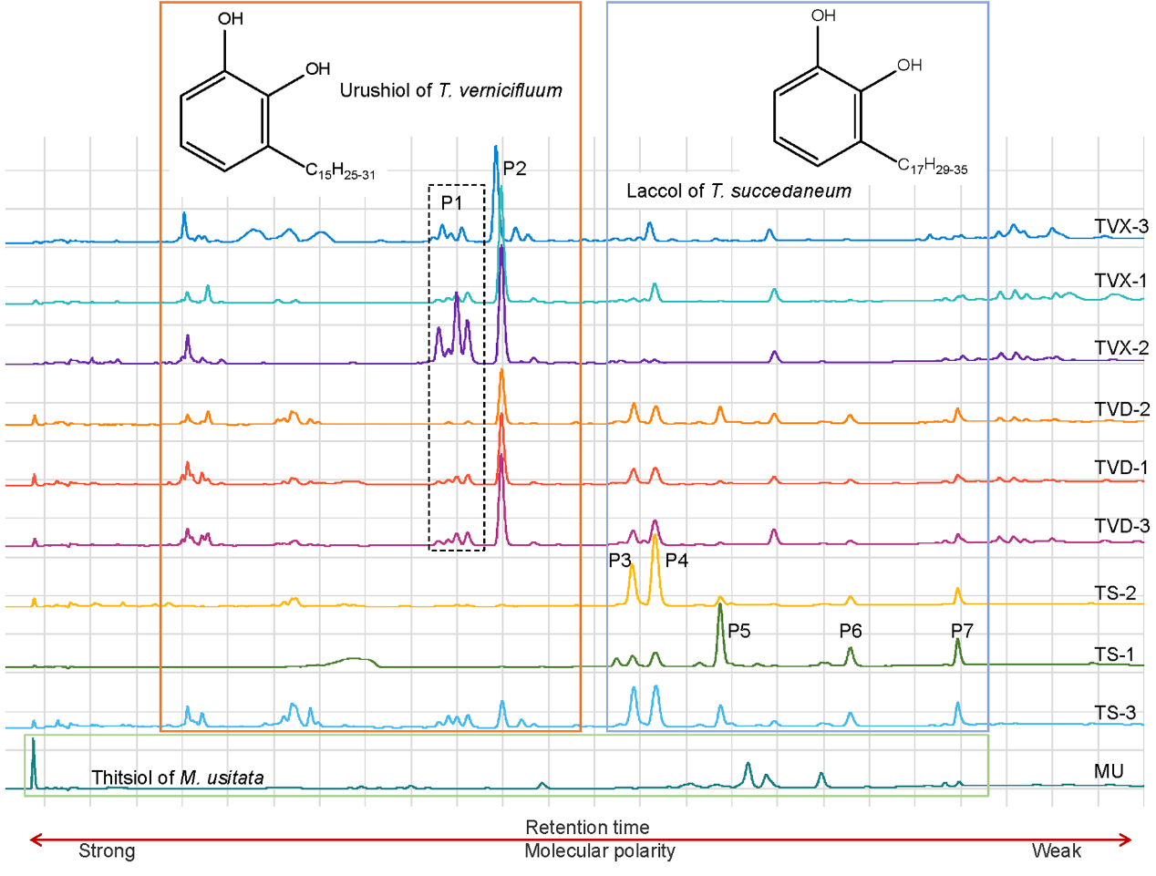
图三 不同生漆漆酚的HPLC指纹谱图,小木漆(TVX),大木漆(TVD),野漆(TS),黑漆(MU)

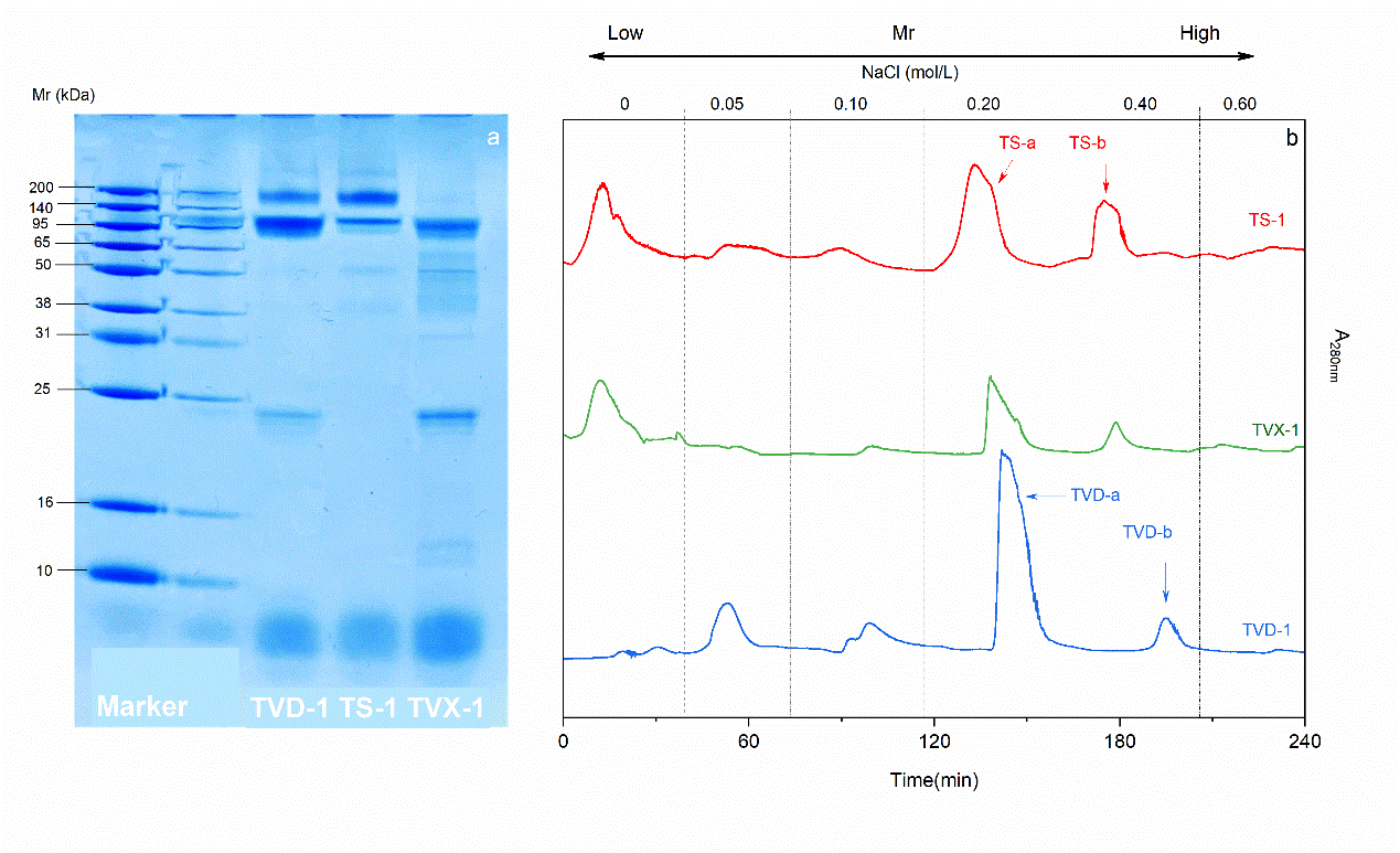
图四 大木漆(TVD)、小木漆(TVX)和野漆(TS)的糖蛋白分子量差异(黑漆糖蛋白含量极低,未提取到可供实验分析的质量)
因漆酚聚合后不溶于任何试剂,小木漆和大木漆的漆酚分子差异难以用于漆器文物的鉴定。但是漆膜中的糖蛋白可以被提取分析,于是本研究基于不同生漆的糖蛋白分子差异,研发了特异性抗体,设计酶联免疫定量分析方法,成功地鉴定并区分了不同种属、品种,以及混合漆膜样本。该方法适用于各种条件下出土的漆器文物,仅需要少量漆皮碎片,灵敏快捷,可对大量样本进行统计学分析;为探索古代中国先民驯化漆树的时间和地理范围提供了切实可行的技术方案。

图五 酶联免疫定量鉴别不同种类的漆皮和混合漆皮样品
Microchemical Journal是分析化学领域的权威期刊(SCI, Q1,中科院分区TOP),发表的文章站在现代分析化学的最前沿,涵盖技术创新的最细微之处,包括基础方面、仪器、新发展、创新和新型方法以及包括环境、临床、食品、文化遗存等领域在内的应用。
文章链接://doi.org/10.1016/j.microc.2025.114409
【作者:吴朦 审核:陈雪香 】